Il composito autopolimerizzante STELA consente restauri diretti con profondità illimitata e basso stress da contrazione.
La tecnologia interfaciale riduce gap e sensibilità post-operatoria.
Il protocollo semplificato migliora l’efficienza clinica.
Mostra buone proprietà meccaniche ed integrazione estetica.
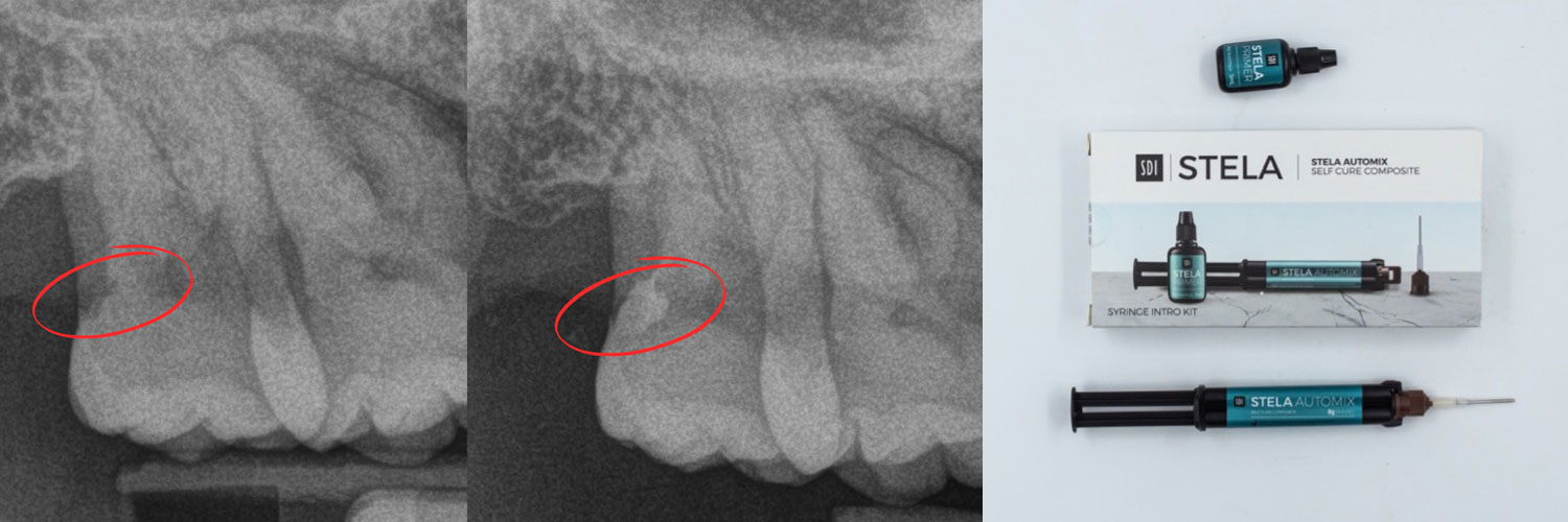
In odontoiatria, le sfide quotidiane richiedono materiali versatili e affidabili. Nel trattare una carie distale sull’elemento 1.7, mi sono trovato di fronte a una condizione critica: l’impossibilità di isolare il campo operatorio con una diga di gomma. Grazie a Stela, composito autopolimerizzante di ultima generazione, sono riuscito a ottenere un risultato impeccabile anche in un ambiente complesso.


Il Caso Clinico: Sfida e Soluzione
Il trattamento di una carie distale su un molare superiore rappresenta già di per sé un ostacolo tecnico significativo. Quando poi il campo operatorio non è isolabile con una diga, il rischio di contaminazione e l’esigenza di un’adesione efficace aumentano notevolmente.
Ho scelto Stela, un materiale progettato per garantire adesione e prestazioni ottimali anche in ambienti umidi. Questa decisione si è rivelata strategica per affrontare le complessità del caso.
La procedura: precisione e innovazione con Stela
- Rimozione del tessuto carioso: utilizzando punte soniche angolate, ho rimosso il tessuto carioso in modo rapido e conservativo, accedendo facilmente all’area distale grazie alla flessibilità dello strumento.
- Applicazione di Stela: con l’ausilio del puntale flessibile in dotazione, piegato a circa 30 gradi, il materiale è stato applicato con precisione anche nelle zone più difficili da raggiungere.
- Gestione del restauro: la consistenza ideale di Stela ha consentito una modellazione precisa e senza sbavature. La fase di autopolimerizzazione ha eliminato la necessità di interventi aggiuntivi, garantendo una sigillatura perfetta e una profondità di polimerizzazione illimitata.
I risultati: Stela una combinazione di eccellenza e semplicità
Grazie a Stela, il restauro dell’elemento 1.7 è stato completato con successo senza troppe difficoltà. Ecco i punti chiave del risultato:
- Adesione impeccabile in ambiente non digabile.
- Interfaccia senza Gap per una durata eccezionale.
- Alta lucidabilità e durezza per un’estetica ottimale e un risultato resistente nel tempo.
Ho potuto notare una rapidità di esecuzione, zero gap a livello marginale, estrema lucidabilità e durezza di superficie del restauro ultimato. Stela ha rivoluzionato il mio modo di lavorare!
Perché scegliere Stela?
Stela è la scelta ideale per gli odontoiatri che desiderano:
- Materiali performanti in ogni situazione, anche senza diga di gomma.
- Una soluzione semplice e veloce da applicare ma altamente professionale.
- Biocompatibile: senza BPA, HEMA e mercurio, sicuro per la salute e l’ambiente.
- Resistente: alta durata e resistenza alle forze occlusali.
- Rapida e sicura: polimerizzazione ottimale senza stress post-operatorio.

Guarda il video del Dottor Stefano Emanuele.