Negli ultimi trent'anni l'odontoiatria si è chiaramente evoluta da un approccio meccanicistico (assemblaggio per incastro) a un approccio adesivo. L'incollaggio si è generalizzato in tutti i settori della nostra attività (odontoiatria operativa, protesi, implantologia, ortodonzia).
Indipendentemente dal tipo di materiali presenti e dalla famiglia di sistemi adesivi utilizzati, l'incollaggio richiede necessariamente superfici pulite e con una rugosità adeguata.
La proiezione di particelle o "micro sabbiatura" è utilizzata da tempo nei laboratori protesici principalmente per preparare le superfici metalliche (alette dei ponti incollati), ma anche alcuni materiali ceramici e quelli a base di resina, soprattutto nelle protesi rimovibili.
Queste operazioni vengono eseguite in camere chiuse, dotate di potenti sistemi di aspirazione a distanza a causa del rischio di inalazione delle particelle di ossido di alluminio (ossido di alluminio).
Con lo sviluppo degli incollaggi di restauri indiretti (in composito o ceramica), realizzati con CAD/CAM o in modo tradizionale, sono apparse delle microsabbiatrici destinate agli studi dentistici. Queste funzionano secondo lo stesso principio di polverizzazione di particelle di ossido di alluminio mediante aria compressa a secco.
Queste microsabbiatrici sono utilizzate in un ambiente "leggero", generalmente dotato di un sistema di aspirazione integrato molto rudimentale. L'area di lavoro si riempie rapidamente di polvere.
L'uso di queste microsabbiatrici direttamente in bocca, grazie ai loro kit di collegamento all'unità, è problematico a causa della nube di particelle presente nell'ambiente del paziente e degli operatori. Inoltre, la polvere di ossido di alluminio abrasivo si deposita sulle superfici e sui materiali. Questi residui sono inevitabili anche in presenza di un sistema di aspirazione chirurgico.
Parallelamente, la "sabbiatura" a umido, nota come air abrasion, è stata sviluppata nell'odontoiatria profilattica (prima della sigillatura dei solchi) e come alternativa alla fresatura nel trattamento delle lesioni cariose iniziali (carie dei solchi). Sebbene queste indicazioni siano ancora valide, il loro campo di applicazione si è oggi ampiamente esteso al trattamento delle superfici dentali destinate all'incollaggio.
Attualmente, esistono due tipi di apparecchiature che consentono di utilizzare questa tecnologia di sabbiatura a umido. Si tratta di un generatore indipendente da installare vicino al riunito oppure di un manipolo integrato nel riunito stesso tramite il cordone della turbina.
È proprio questa attrezzatura integrata (Rondoflex Plus) che abbiamo utilizzato (fig. 1 e fig. 2).
Esso consente di proiettare:
- Una miscela di aria/acqua/ossido di alluminio da 27 micron per una micro sabbiatura leggera sulla dentina o sul composito
- Una miscela di aria/acqua/ossido di alluminio da 50 micron che consente un'azione più potente su metallo, ceramica (riparazione di fratture) o pulizia di elementi provvisori.

Fig.1
Fig.2
Numerosi studi hanno dimostrato che la microsabbiatura aumenta la microrugosità superficiale (architettura), la bagnabilità, la superficie sviluppata e, di conseguenza, consente valori di adesione superiori.
Fig.3

Fig.4
Fig.5
Figg. 3, 4 e 5. La microsabbiatura consente di preparare rapidamente le facce linguali da 12 a 23 prima dell'applicazione dell'adesivo (Optibond eXTRa) e poi del composito fluido prima del montaggio delle faccette dirette in composito (Harmonize).
Da un punto di vista pratico, la microsabbiatura dell'intradosso di un restauro indiretto in composito verrà effettuata nel laboratorio protesico (ricordo: quelli in ceramica a base di vetro vengono trattati con mordenzatura) e la microsabbiatura verrà effettuata in bocca sulla superficie dentale che ha subito idealmente un'immediata sigillatura dentinale con un adesivo caricato, ricoperto o meno di composito a seconda dello spazio disponibile.
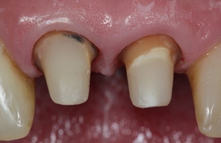
Fig. 6
Fig. 7
Fig. 8

Fig. 9

Fig. 10
Fig. 11
Fig. 12

Fig. 13
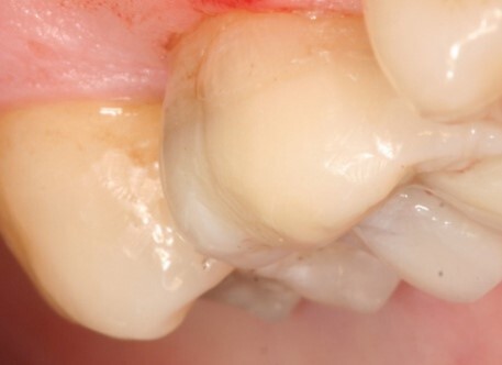
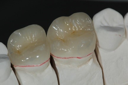
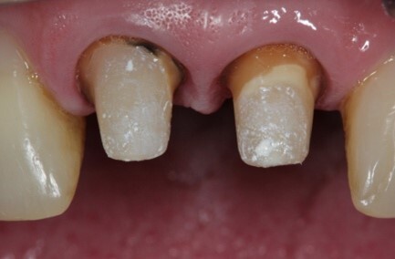
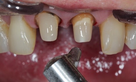
Figg. da 6 a 13. Overlay Emax mordenzati (laboratorio Pierre Andrieu). Micro sabbiatura con ossido di alluminio 50µ delle superfici trattate con sigillatura immediata della dentina (optibond FL + composito flow), quindi applicazione di Optibond eXTRA sulla superficie interna degli overlay e sulle superfici dentali e posizionamento di un adesivo duale tipo Nexus.
Un altro vantaggio della microsabbiatura è la sua capacità di rimuovere il cemento residuo extraorale prima di una risigillatura e/o di un ribasamento di elementi provvisori o di uso comune.
Pertanto, la micro sabbiatura leggera con ossido di alluminio da 27 micron delle superfici dentali preparate per ricevere elementi periferici sigillati ottimizza l'assemblaggio dente/cemento/corona, in particolare in presenza di pilastri di altezza ridotta o di forti sollecitazioni.
In termini di ergonomia, il trattamento delle superfici mediante microsabbiatura (indipendentemente dal tipo di assemblaggio incollato o sigillato) è più rapido e semplice rispetto all'uso di spazzolini, paste abrasive, frese, mole o curette.
Fig. 14
Fig. 15
Fig. 16

Fig 17
Figg. da 14 a 17. Pulizia di 11 e 21 mediante sabbiatura con ossido di alluminio 27µ prima della sigillatura di ceramiche Emax su cappette in zirconio.
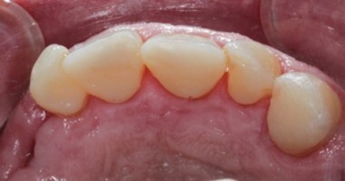
Fig. 18

Fig. 19

Fig. 20
Fig. 21
Fig. 22
Fig. 23

Fig. 24
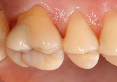
Figg. da 18 a 24. Sabbiatura con ossido di alluminio 27µ della superficie dentinale di 16, mordenzatura dello smalto, adesivo (Optibond Solo Plus), assemblaggio con colla Duale (Nexus). La qualità del giunto è eccellente.
In conclusione, l'abrasione ad aria umida è un processo indispensabile per ottenere una perfetta adesione, grazie al suo potere pulente. Questa micro sabbiatura aumenta i valori di adesione modificando l'architettura superficiale dei materiali e del dente.
Con la diffusione dell'odontoiatria adesiva basata sul risparmio di tessuto e dei sistemi di produzione di elementi protesici realizzati con CAD/CAM, la microsabbiatura diventa una fase imprescindibile del processo di assemblaggio finale.
Bibliografia:
D'Arcangelo e Vanini, "Effect of three surface treatments on the adhesive properties of indirect composite restaorations" (Effetto di tre trattamenti superficiali sulle proprietà adesive dei restauri indiretti in composito).
Nishigawa et al., "Various effects of sandblasting of dental restorative materials".
Chaiyaburt e Kois, "The effects of tooth preparation cleansing protocols on the bond strength of self-adhesive resin luting cement to contaminated dentin"
Erkut et al., " Effect of different surface-cleaning techniques on the bond strenght of composite resin restorations ".