L'effetto del composito riscaldato nella pratica clinica: caso clinico di restauro composito dentale
Il riscaldamento dei compositi rappresenta una strategia efficace per migliorare l’adattamento al substrato dentale, riducendo microinfiltrazioni e difetti marginali. L’utilizzo di dispositivi dedicati consente un controllo rapido e predicibile della viscosità, ottimizzando la manipolazione clinica e le fasi di finitura. I compositi ad alta viscosità mostrano i maggiori benefici in termini di fluidità e adattamento.
Viene presentato un caso clinico di riabilitazione estetica degli incisivi laterali superiori mediante tecnica stratificata con composito riscaldato, successiva a trattamento ortodontico con aligner. Il protocollo adesivo standardizzato ha garantito elevata qualità dell’interfaccia adesiva. I risultati evidenziano un miglioramento estetico e funzionale con integrazione cromatica ottimale.
Da molti anni il concetto di composito riscaldato è entrato nella pratica clinica.
In base all’esperienza clinica, il riscaldamento rende il composito più fluido, favorendone un migliore adattamento al substrato. Questo vale sia quando il substrato è adeso alla struttura dentale, sia ad altri materiali da restauro o nella riparazione di materiali indiretti (piccoli difetti).
Dalla mia esperienza, il posizionamento del composito è più rapido quando viene riscaldato, poiché richiede una minore manipolazione per garantire un buon adattamento tra il substrato e il composito. Margini lisci e ben adattati sono essenziali per prevenire discromie, microinfiltrazioni e carie secondarie.
Quando l’adesione tra gli strati di composito è semplice, la formazione di porosità è meno probabile e le fasi di finitura e lucidatura del composito estetico risultano più facili e rapide.
Nel 2025 è stato lanciato il Solventum™ Filtek™ fornetto scalda compositi (Foto 1), specificamente progettato per i restauri dentali Filtek™. Compatto, dal design curato e facile da maneggiare, è al tempo stesso efficiente e pratico. Dopo soli due minuti di preriscaldamento del dispositivo, le capsule di composito risultano completamente riscaldate e pronte all’uso.
La parte superiore dello scalda composito è removibile e può essere posizionata direttamente sul tavolino della poltrona odontoiatrica, migliorando l’accessibilità durante il posizionamento del materiale. Questa caratteristica rappresenta uno dei principali punti di forza del dispositivo. Il modulo removibile è compatto e occupa uno spazio minimo. Il sistema è intuitivo, dotato di pochi pulsanti ed è disinfettabile. È inoltre previsto uno spazio per una siringa di composito flowable accanto a sei capsule di composito.
Foto 1
Alcuni materiali restaurativi Filtek™ in capsule e siringhe di composito flowable sono idonei al riscaldamento fino a un’ora a 70 °C. Quanto maggiore è la consistenza iniziale del composito, tanto più significativo risulta il beneficio del riscaldamento.
3M™ Filtek™ One Bulk Fill Restorative è un materiale ampiamente utilizzato e ben consolidato nella pratica clinica. In questo caso, il riscaldamento risulta particolarmente vantaggioso, poiché un materiale relativamente consistente diventa molto più fluido e maneggevole. 3M™ Filtek™ Universal Restorative, 3M™ Filtek™ Easy Match Universal Restorative e 3M™ Filtek™ Supreme XTE Universal Restorative sono altri materiali che ho riscaldato con successo nel tempo.
In base al tempo di permanenza della capsula nello scalda composito, è possibile modulare la temperatura. In particolare, per ricostruzioni estetiche di maggiori dimensioni nel settore anteriore, risulta utile controllare il grado di fluidità in funzione delle preferenze del clinico. Con lo scalda composito posizionato sul tavolino della poltrona odontoiatrica accanto al paziente, la capsula può essere facilmente rimossa prima dei due minuti oppure lasciata brevemente sul tavolino prima dell’uso, qualora si desideri una viscosità leggermente superiore.
Il seguente caso clinico illustra un trattamento eseguito utilizzando 3M™ Filtek™ Supreme XTE Universal Restorative riscaldato, applicato con una tecnica di stratificazione mediante masse body, dentina e smalto. Il paziente non desiderava sottoporsi a sbiancamento, ma voleva mantenere il colore naturale dei denti.
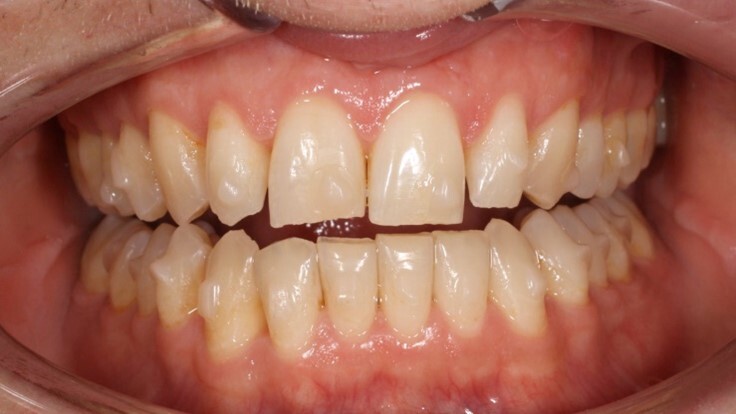
Gli incisivi laterali superiori risultavano stretti (Foto 2a) e il paziente desiderava aumentarne la larghezza. L’incremento della larghezza dei laterali ha inoltre migliorato la relazione inter‑arcata secondo l’analisi di Bolton.
Il paziente presentava segni di usura, principalmente dovuti ad attrito su diversi elementi dentari, oltre ad affollamento, in particolare nella regione anteriore mandibolare in corrispondenza del dente 42.
Prima del trattamento restaurativo in composito, è stato eseguito un trattamento ortodontico mediante 26 aligner al fine di posizionare i denti nella configurazione desiderata. Questo ha consentito di creare spazio attorno ai laterali (Foto 2b) per il successivo rimodellamento. Gli incisivi centrali e i canini sono stati trattati mediante edge bonding.
Foto 2a
Foto 2b
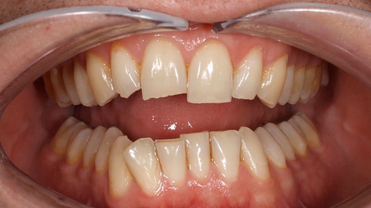
I laterali sono stati ricostruiti utilizzando matrici Bioclear™ (Foto 3a). In questo contesto, una maggiore fluidità del materiale e un facile adattamento al substrato si sono rivelati particolarmente vantaggiosi. I restauri sono stati realizzati applicando uno strato sottile di composito flowable alla base, in sede gengivale a contatto con i denti adiacenti, mentre il composito riscaldato è stato utilizzato per le ricostruzioni mesiali e distali.
Tutti i denti hanno ricevuto lo stesso pretrattamento: isolamento con diga di gomma (Foto 3b), sabbiatura con ossido di alluminio da 30 μm, mordenzatura con acido fosforico e applicazione dell’adesivo 3M™ Scotchbond™ Universal Plus Adhesive. Per evitare l’adesione del materiale agli strumenti e ai pennelli per compositi, è stato utilizzato un liquido modellante, mentre la glicerina è stata applicata prima della polimerizzazione dello strato finale per prevenire l’inibizione da ossigeno.
Foto 3a
Foto 3b
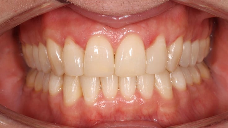
L'immagine clinica postoperatoria (Foto 4) mostra il paziente il giorno successivo al trattamento in composito. I denti risultano reidratati e hanno riacquisito il loro colore naturale.

- L'effetto del composito riscaldato nella pratica clinica: caso clinico di restauro composito dentale - 24 marzo 2026 14.29.40 CET

