Gestione conservativa di elemento anteriore fratturato con vitalità pulpare mantenuta. Eseguita ricostruzione diretta adesiva mediante tecnica stratificata in composito. Riprodotte caratteristiche morfo-cromatiche (mamelloni e traslucenze incisali). Approccio minimamente invasivo senza ricorso a protesi. Outcome estetico e funzionale ottimale con integrazione dei tessuti residui.
Lo sviluppo di materiali e metodi sempre più all’avanguardia in odontoiatria moderna, consente di riabilitare elementi dentali, anche altamente compromessi, con risultati estetici ottimali in modo minimamente invasivo.
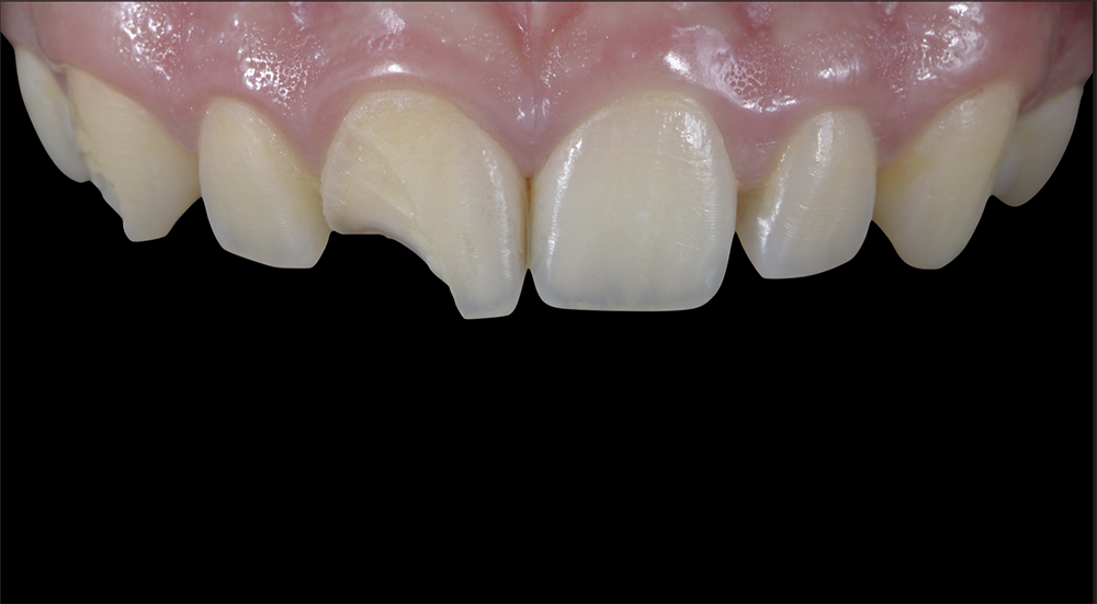
Il paziente si presenta alla mia osservazione con la frattura dell’elemento 1.1 a causa di un trauma avvenuto in seguito ad una caduta.
Dopo un’attenta analisi obiettiva e radiografica, siamo stati in grado di valutare sia l’entità della frattura sia la vitalità dell’elemento dentale che era del tutto mantenuta.
Le condizioni cliniche associate anche alla giovane età del paziente ci hanno spinti ad attuare un piano di trattamento minimamente invasivo caratterizzato dalla ricostruzione diretta in resina composita dell’elemento dentale in questione.
Tutto parte da un’attenta analisi fotografica per la definizione della forma e del colore, e dallo sviluppo del modello in gesso sul quale verrà fatta una ceratura che ci servirà per stampare una mascherina guida in silicone.
Dopo aver isolato il campo operatorio attraverso la diga di gomma, requisito, fondamentale per l’adesione massima, e dopo aver effettuato le procedure adesive con una mordenzatura dello smalto ed il passaggio di primer e bonding, inizia la fase ricostruttiva.
Il primo passaggio è caratterizzato dalla creazione della parete palatale con uno smalto ad alto valore (HVT Shofu) che ci supporterà durante il proseguo della fase ricostruttiva.
Dopo di che si va a creare la cornice del dente con la definizione del profilo mesiale e distale con una massa Body (Visalys Fill A1) e del piatto incisale con una massa bianca (Visalys Fill BL).
A questo punto abbiamo una fase molto importante ovvero il posizionamento della massa dentinale opaca (Visalys Fill OA2) che va stratificata nella zona di passaggio tra il dente è la ricostruzione... questa procedura è molto rilevante perché una non corretta stesura determinerebbe la formazione di un alone grigio al termine del restauro ed una non corretta integrazione del restauro.
Dopo di che ci concentriamo sul terzo incisale e su tutte quelle componenti anatomiche tipiche soprattutto in paziente giovane di questa porzione dell’elemento dentale.
La creazione dei mamelloni con massa dentinale (Visalys Fill OA2) e l’utilizzo dei super colori (Kerr) in grado di dare questo effetto di opalescenze molto gradevole.
Ultimo passaggio la stratificazione di una massa smalto ad alto valore (HVT Shofu) che va a coprire l’intera ricostruzione. Lo strato di smalto superficiale deve essere molto sottile altrimenti si correrebbe il rischio di un abbassamento del valore al termine della ricostruzione.
Dopo di che inizia la fase di rifinitura del restauro.
I dischetti ci consentono di creare i profili corretti e le linee di transizione dove impatterà la luce. Con una fresa molto sottile andiamo a definire la micro e macro tessitura verticale ed orizzontale. Ed infine il passaggio di gommini non aggressivi ci permette la corretta lucidature del restauro.
Il paziente viene rivisto dopo una settimana, tempo che serve per ottenere una corretta reidratazione del materiale, ed a questo punto siamo pronti per effettuare una nuova analisi fotografica che ci consente di valutare l’integrazione del lavoro.
Fig. 1: Frattura del dente
Fig. 2: Isolamento attraverso la diga di gomma
Fig. 3: Silicon index
Fig. 4: Mordenzatura dello smalto
Fig. 5: Parete palatale
Fig. 6: Margine incisale
Fig. 7: Architettura dentinale
Fig. 8: Stratificazione finale di una massa di smalto
Fig. 9: Prima di finire
Fig. 10: Procedura di finitura
Fig. 11: Anatomia di superficie
Fig. 12: Lucidatura
Fig. 13: Glossing

Fig. 14: Risultato finale