Utilizzare la combinazione adesivo 3M™ Scotchbond™ Universal Plus e cemento composito 3M™ RelyX™ Universal
I restauri posteriori sono impegnativi: possono essere utilizzati molti materiali diversi, diretti o indiretti. In questo caso clinico, un giovane paziente aveva una corona distaccata sul secondo premolare superiore e due restauri danneggiati sul primo molare superiore e sul primo premolare superiore.
Quando ci troviamo di fronte a più restauri, bisognerebbe prendere in considerazione un approccio indiretto. Sono stati realizzati restauri parziali adesivi in disilicato di litio e una corona in zirconia monolitica.
Applicazioni e materiali diversi, ma un solo cemento utilizzato per tutto.

Situazione iniziale e isolamento del campo con diga di gomma.

Rimozione e pulizia delle carie del primo molare in amalgama e del primo premolare in composito.

CAD/CAM, restauri parziali in disilicato di litio in un modello stampato in 3D.

Pretrattamento con HF, risciacquo con acqua, adesivo 3M™ Scotchbond™ Universal Plus e cemento composito 3M™ RelyX™ Universal.

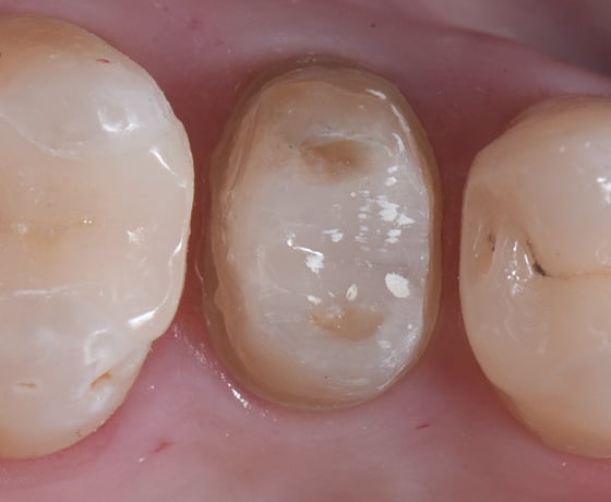
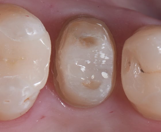
Restauri parziali dei molari e dei premolari superiori aderenti.

Preparazione del margine di finitura sul secondo premolare superiore.

Corona monolitica realizzata in zirconia in due viste diverse.

Pretrattamento sabbiatura con 30 µm di Al2O3, pulizia con etanolo e cemento composito 3M™ RelyX™ Universal.

Risultato dopo la cementazione.
PPer le informazioni complete sul prodotto, consulta le istruzioni per l'uso (IFU). I risultati possono variare.
Prodotti correlati Solventum:
Cemento composito 3M™ RelyX™ Universal
- Universal Resin Cement a polimerizzazione duale ideale per tutte le applicazioni di cemento autoadesivo e adesivo
- Ulteriore resistenza del legame migliore per tutti i sottostrati con l'adesivo 3M™ Scotchbond™ Universal Plus
- Pulizia rapida e semplice degli eccessi
- Siringa autosigillante unica: più igienica e più facile da pulire rispetto alle siringhe automix attualmente utilizzate
Adesivo 3M™ Scotchbond™ Universal Plus
- Radiopacità aggiunta
- Lega e sigilla la dentina affetta da carie*
- Adesione avanzata a substrati dentali e da restauro, incluse vetro ceramiche
- Completa compatibilità di dual-cure e self-cure senza la necessità di un attivatore di polimerizzazione duale separato
- Materiale privo di derivati del BPA come il BisGMA
* Dati interni Solventum