Un approccio clinico integrato per l’arresto e la rigenerazione delle lesioni cariose iniziali: peptidi biomimetici e ortodonzia con allineatori
Le white spot lesions (WSL) sono una comune complicanza dei trattamenti ortodontici e richiedono un’intercettazione precoce da parte dell’igienista dentale. L’utilizzo dei peptidi auto-assemblanti P11-4 (Curodont™ Repair) consente un trattamento non invasivo basato sulla rigenerazione dello smalto. Gli studi clinici mostrano una significativa regressione e inattivazione delle lesioni quando il protocollo professionale è associato al mantenimento domiciliare con Curodont™ Protect. L’igienista dentale svolge un ruolo chiave nel monitoraggio, nell’educazione del paziente e nella gestione della compliance. L’approccio integrato studio-domicilio migliora gli outcome e riduce il rischio di interventi restaurativi futuri.
L’esperienza clinica dell’igienista dentale tra innovazione e pratica
Introduzione
Nel precedente articolo pubblicato nel luglio scorso, abbiamo discusso l’impiego di CurodontTM Repair nel trattamento non invasivo delle lesioni cariose iniziali in età pediatrica.
Le white spot lesions (WSL) rappresentano una delle complicanze più frequenti nei trattamenti ortodontici. Sebbene l’ortodonzia con allineatori comporti un rischio minore rispetto agli apparecchi fissi, la presenza di superfici ritentive di placca (attachments) e la non compliance del paziente nella gestione delle mascherine, favoriscono la formazione di lesioni cariose iniziali.
L’impiego di CurodontTM Repair ha introdotto un nuovo paradigma di trattamento non invasivo e rigenerativo, utilizzabile per la gestione delle lesioni cariose iniziali durante il trattamento ortodontico.
Integrando l’applicazione professionale con un protocollo domiciliare biomimetico (CurodontTM Protect), è possibile ottenere risultati clinici ancora più stabili e predicibili.
Prevalenza delle WSL e ruolo dell’igienista dentale
Le WSL colpiscono fino al 45% dei pazienti ortodontici con apparecchi fissi (Liu et al., 2024) e fino al 28% dei pazienti con allineatori (Bisht et al., 2022).
Anche se le superfici dentarie sono più accessibili alla pulizia, le abitudini igieniche non sempre ottimali rendono necessaria un’attenta diagnosi precoce, compiti centrali dell’igienista dentale. La prevenzione e la gestione delle WSL diventano quindi parte integrante del piano terapeutico interdisciplinare, in cui la collaborazione tra ortodontista e igienista dentale è determinante.
Peptidi auto-assemblanti e rigenerazione guidata dello smalto
L’applicazione di CurodontTM Repair è indicata in presenza di lesioni cariose iniziali non cavitate, osservate durante i controlli periodici ortodontici. Il peptide penetra nella profondità della lesione e forma una matrice attiva che attira ioni calcio e fosfato dalla saliva, favorendo l’arresto della lesione cariosa e successivamente la neoformazione di cristalli di idrossiapatite (Kirkham et al., 2007). L’associazione del peptide a un protocollo di igiene e mantenimento adeguato garantisce risultati stabili nel tempo.
Evidenze cliniche recenti: lo studio di Doberdoli et al. (Scientific Reports, 2020)
Uno studio clinico randomizzato (Doberdoli et al., Scientific Reports, 2020) ha confrontato tre protocolli terapeutici su 90 pazienti pediatrici con carie occlusali iniziali:
- Fluoruro topico (gruppo controllo)
- P11-4 + Vernice al fluoro
- P11-4 + gel domiciliare CurodontTM Protect (calcio, fosfato e F 900ppm)
Dopo 12 mesi, i risultati hanno evidenziato un netto vantaggio dei gruppi trattati con P11-4:
- Evoluzione clinica (ICDAS-II)
▪ Regressione del 6,7% nel gruppo P11-4 + Fluoruro
▪ Regressione del 20% nel gruppo P11-4 + SAPM
▪ Peggioramento nel 30% dei casi del gruppo controllo - Attività cariosa (Nyvad Criteria)
▪ Inattivazione completa (100%) nei gruppi con P11-4 (p < 0.001)
▪ Persistenza della carie attiva nel gruppo controllo
I protocolli con CurodontTM Repair e CurodontTM Protect risultano superiori al solo fluoro topico.
Il mantenimento domiciliare con CurodontTM Protect rappresenta quindi un valido complemento all’efficacia di CurodontTM Repair, con un approccio gestibile anche in età evolutiva.
Riepilogo grafico dei risultati clinici
🔹 Evoluzione clinica delle lesioni (ICDAS-II)
Illustra la regressione e l’arresto delle lesioni cariose iniziali non cavitate trattate.

Approccio clinico da parte dell’igienista dentale
Un esempio di protocollo clinico operativo basato sull’evidenza scientifica:
- Valutazione iniziale (baseline)
- Documentazione fotografica e compilazione della cartella cariologica
- Valutazione del rischio individuale di carie (abitudini alimentari, igiene, valutazione salivare).
- Istruzioni specifiche per l’igiene degli allineatori e l’uso di prodotti fluorurati.
- Trattamento in studio
- Identificazione delle lesioni cariose iniziali non cavitate
- Applicazione professionale di CurodontTM Repair seguendo il protocollo non invasivo ufficiale
- Mantenimento domiciliare
- Prescrizione di CurodontTM Protect come trattamento di supporto quotidiano.
- Rinforzo della motivazione e controllo della compliance ad ogni richiamo.
- Educazione continua su alimentazione, igiene e gestione degli allineatori.
- Follow-up clinico
- Sedute di igiene orale programmate ogni 2-3 mesi a seconda del rischio carie del paziente, con documentazione fotografica e, se possibile, monitoraggio con sistemi di fluorescenza
- Registrazione dello stato delle lesioni
CASO CLINICO ORTODONTICO CON ALLINEATORI
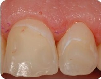
Paziente di 37 in terapia ortodontica con allineatori. Durante la seduta di igiene orale intercettiamo due lesioni cariose iniziali non cavitate intorno agli attachments a livello degli elementi 21 e 22. Dopo aver documentato fotograficamente le lesioni, procediamo con l’applicazione di CurodontTM Repair al termine della seduta di igiene orale e lasciamo trattamento domiciliare con CurodontTM Protect 2 volte alla settimana per 2 mesi.
Pretrattamento CurodontTM Repair
Rivediamo la paziente a distanza di 30 giorni per controllare l’igiene domiciliare e la compliance nell’applicazione del trattamento CurodontTM Protect. Fissiamo la seduta d’igiene distanza di 3 mesi dalla seduta iniziale e la paziente continua il trattamento domiciliare per un altro mese.
Post trattamento CurodontTM Repair a distanza di 30 giorni, con trattamento CurodontTM Protect domiciliare 2 volte alla settimana
Ruolo dell’igienista dentale
L’integrazione tra trattamento professionale e mantenimento domiciliare rappresenta una strategia sinergica in grado di migliorare gli outcome clinici in ortodonzia con allineatori.
Dal punto di vista operativo, la collaborazione tra ortodontista e igienista dentale è fondamentale: l’igienista è una figura fondamentale (che deve essere dunque formata e preparata) per l’intercettazione precoce delle lesioni e per la gestione personalizzata del mantenimento domiciliare, garantendo continuità terapeutica e aderenza alle indicazioni.
Conclusioni
Le evidenze cliniche confermano che CurodontTM Repair rappresenta un’evoluzione nella gestione non invasiva a lungo termine delle lesioni cariose iniziali, anche in ortodonzia con allineatori.
L’associazione tra applicazione professionale di CurodontTM Repair e mantenimento domiciliare con CurodontTM Protect costituisce un approccio clinico integrato efficace, in grado di coniugare arresto della lesione cariosa, rigenerazione dello smalto, prevenzione secondaria e adesione terapeutica; riducendo la necessità di restauri futuri.
L’igienista dentale, attraverso l’educazione, la motivazione e la personalizzazione dei protocolli, assume un ruolo chiave nel garantire il successo a lungo termine del trattamento ortodontico, promuovendo salute orale e intercettando i primi segni clinici della malattia cariosa.
Riferimenti bibliografici essenziali
-
Bisht S. et al. White spot lesions during orthodontic clear aligner therapy: a scoping review. Clin Exp Dent Res. 2022.
-
Liu Q. et al. Incidence, severity, and risk factors for white spot lesions in orthodontics: a systematic review. J Dent Res. 2024.
-
Alkilzy M. et al. Self-assembling peptide P11-4 and its impact on caries remineralization: randomized controlled clinical trial. J Dent Res. 2018.
-
Keeper J.H. et al. Systematic review and meta-analysis on the efficacy of self-assembling peptide P11-4 for non-cavitated carious lesions. Caries Res. 2023.
-
vVARDIS. Curodont Repair & Curodont Protect — technical documentation. 2023.
-
Doberdoli D. et al., Scientific Reports, 2020.
Nel 2018 incontra la realtà dell’associazione Mamme&Igieniste e decide di specializzarsi in ambito materno-infantile nel 2019. Segue diversi corsi e master pedodontici e si concentra sulla cariologia.
Nel 2021 entra a far parte del direttivo dell’associazione Mamme&Igieniste.
Tuttora si occupa di progetti di prevenzione nel territorio Lombardo e dell’organizzazione di corsi e congressi in ambito sanitario.
Infine, porta avanti ormai da 5 anni, il suo progetto di divulgazione scientifica attraverso i social.
- Un approccio clinico integrato per l’arresto e la rigenerazione delle lesioni cariose iniziali: peptidi biomimetici e ortodonzia con allineatori - 18 novembre 2025 12.23.13 CET
- L’innovazione di Curodont Repair in pedodonzia: l’esperienza dell’igienista dentale nel trattamento delle carie iniziali nei bambini - 7 luglio 2025 11.25.55 CEST

