Prosegue il nostro percorso a tema Sbiancamento Professionale.
Mentre nel primo appuntamento abbiamo parlato di un “semplice caso” di sbiancamento domiciliare, oggi scopriamo insieme come la sinergia Odontoiatra - Igienista Dentale possa dare grandi soddisfazioni sia in ambito clinico che di esperienza e soddisfazione del paziente.
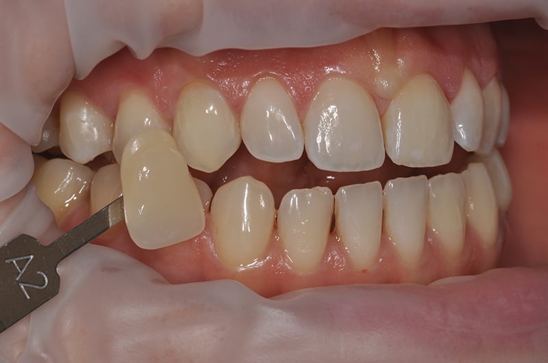
La paziente afferisce allo studio segnalando un disagio nel sorridere e relazionarsi socialmente a seguito della discromia di alcuni elementi dentali, in particolare dell’elemento 13.

A seguito di prima valutazione odontoiatrica completa di rx eseguita dalla Dott.ssa Federica Naldi, odontoiatra, è emersa una chiara necrosi pulpare, confermata dall’assenza di risposta agli stimoli termici.
Lo sbiancamento esterno non ha un grande potere quando l’origine della discromia è di natura endodontica.
Si è quindi proceduto con:
- Seduta di Igiene Orale professionale
- Terapia canalare elemento 13
- A seguito di opportuna preparazione della camera pulpare si è applicato un piccolo quantitativo di sbiancante endodontico Opalescence Endo HP 35% e chiuso con cotone e cemento provvisorio
- Rilevazione di impronte in alginato per la realizzazione di mascherine personalizzate per lo sbiancamento domiciliare
I risultati a seguito dell’applicazione di sbiancante endodontico HP 35% si sono visti già ad una settimana.

Si è proceduto con cambio medicazione elemento 13 e consegna mascherine ad una settimana dalla prima applicazione. La paziente vedendo già i risultati, ha mantenuto un livello di collaborazione costante per i 15 giorni di applicazione di CP al 16% White Dental Beauty per una media di 4 ore giornaliere.

Non ci sono stati problemi di sensibilità dentale.
L’otturazione definitiva è stata fissata per due settimane dopo la fine delle applicazioni di sbiancante domiciliare.
La paziente in occasione del controllo a 15 giorni ha manifestato estrema soddisfazione e noi operatori con lei.
La collaborazione e la coesione del team odontoiatrico rappresentano il segreto per ottenere risultati clinici ottimali e la soddisfazione del paziente.
Abbiamo dimostrato di essere alleati con l’unico scopo di risolverle un problema estetico nel pieno rispetto della salute.
La gestione di questo caso e la stesura di questo case report è stato possibile grazie alla collaborazione della Dott.ssa Federica Naldi, Odontoiatra.